Revision ACL Reconstruction
- Relevant helpful information can be found on the anatomy of ACL, ACL injury and ACL reconstruction
- The ACL provides not only stability to the knee but has proprioceptors which are special receptors that sense body movement and position in space:
- Therefore, with an ACL injury a lot of time needs to be spent during rehabilitation to improve this sense of joint position so as to avoid placing the knee in a compromising position that risks exposing the ACL graft to excessive stresses
- ACL reconstruction is one of the commonest surgical procedures with over 200,000 occurring annually in USA alone
- Their success rate can be quite variable from 75-97%:
- An ACL reconstruction should not therefore be promoted by a surgeon or the patient to expect for it to be 100% effective let alone risk free
- Complications of an ACL reconstruction are discussed further in ACL reconstruction section
- As the number of ACL reconstructions carried out are increasing so are the failures and number of revision ACL reconstructions
- Failure of the ACL reconstruction can be due to:
- ACL graft rupture (structural failure)
- Residual instability (functional failure):
- Patients feels their knee to be unstable (especially when pivoting) despite the ACL graft being intact
- Outcomes of revision ACL reconstruction are not as good as primary (original) ACL reconstruction:
- That’s why it is important not only to ensure correct rehabilitation is carried out but also to choose a surgeon who specialises in ACL reconstructions
- Outcomes of revision ACL reconstruction are better for those who do not have other injuries such as to a meniscus, cartilage or another ligament
- 15-30% of athletes following an ACL reconstruction complain of:
- Ongoing pain
- Persistent instability
- Inability to return to same level of competition
- It is important to determine details about what was done in the primary ACL reconstruction, if there were any complications afterwards and how the rehabilitation went and any sport participation afterwards
- Patient’s expectations and what level of activities they wish to pursue afterwards help the surgeon with their management and educating the patient on what to expect, benefits and risks of the operation and the postoperative rehabilitation regimen
Causes of failure of ACL reconstruction
- Failure of an ACL reconstruction is taken to be when knee stability is not restored when pivoting
- Patients will experience knee giving way when they twist and turn rapidly:
- Each time the knee gives way puts the articular chondral surface and menisci at risk of further injury
- The causes of failure can be broadly split into:
- Surgical technical errors:
- This is thought to be the most common cause of failure especially in the early period after the operation
- It is due to poor placement of the graft tunnels in the femur primarily and secondarily in the tibia
- Poor placement of the tunnels results in:
- Excessive stresses on the graft
- Impingement whereby the graft is pressed between the joint surfaces which results in pain, stiffness and potential attrition rupture of the graft
- Unequal tension on the graft through the range of motion with the knee feeling tight in either flexion or extension and feeling loose in the opposite end of movement
- Unrecognised additional injuries which were not addressed during the original procedure such as:
- Posterolateral corner:
- 10-15% of chronically ACL deficient knees have this
- Medial collateral ligament
- Posterior horn (back end) of the medial meniscus is an additional stabiliser and failure to address this results in excessive stresses to the ACL
- Lower limb malalignment:
- An individual may be bow legged (varus knees) or knock-kneed (valgus knees)
- This malalignment can subject the ACL graft to excessive stresses and increase the likelihood of stretching and ultimate failure
- One of the commonly missed problems when an ACL reconstruction is performed is tibial slope:
- When looking at the knee sideways the angle the tibia joint surface makes to the horizontal is called the tibial slope
- If this is too down sloping then this means that as one stands the natural tendency is for the femur to slide down the tibia which in effect results in the tibia sliding forward in relation to the femur
- This puts excessive tensile forces that stretch the ACL
- When this down slope is too much, a corrective osteotomy to make that slope more neutral (closer to the horizontal) should be carried out in order to protect the ACL from future failure
- Interestingly this corrective osteotomy to protect the ACL is routinely carried out by veterinary surgeons when a dog has an ACL reconstruction
- Trauma:
- Typically when the patient goes back to playing sport
- Commonest cause for late ACL reconstruction failures
- Biological failure of graft incorporation:
- The ACL graft needs to incorporate (stick down) to the surrounding bony tunnels in order to become one and form a solid anchor
- This take time to happen and is explained further in the phases of ACL healing in primary ACL reconstruction section
Timing of the failure indicates the cause of failure
- Early failure (<3 months) is likely due to:
- Loss of ACL graft fixation:
- The ACL is anchored down with an implant on the femoral side (such as an anchor loop) and on the tibia (such as a screw)
- If these implants do not hold the graft well, it can lead to early failure
- The weakest point of the ACL reconstruction in the early postoperative period is the interface between the tendon and the bone
- The purpose of the implants is to hold the graft in place whilst giving time for the graft to stick down and become one with the surrounding bony tunnels
- Deep knee infection:
- A superficial knee infection of just the wound can be successfully treated with aggressive course of antibiotics
- A deep knee infection is when the knee joint itself is affected and it’s a poor outcome
- This often presents with intense pain which is made worse on standing and moving the knee, swelling, redness and warmth in the knee and generally feeling very unwell with a temperature:
- In such circumstances the patient should seek immediate medical help from an orthopaedic knee surgeon for urgent washout of the knee in theatre and commencement of antibiotics
- The deep infection unfortunately not only eats away and loosens the ACL graft but also starts to attack and dissolve the cartilage of the joint which can lead to rapid onset of arthritis
- Medium term failures (3-12 months):
- Surgical errors in ACL graft tunnel positioning
- Failure to recognise and address other ligamentous injury at time of surgery
- Failure to address malalignment or excessive tibial slope
- Failure of graft to incorporate with the bone
- Early return to sport
- Inadequate or over aggressive ACL rehabilitation
- Late failure (>12 months):
- Unlike early failures where surgical errors are more prevalent late failures are most commonly due to a traumatic event:
- Return to sport with or without adequate rehabilitation
- Poor graft placement
- Marked stiffness of the knee
- If inadequate ACL rehabilitation, ACL can be injured even with minor trauma as the muscles are too weak to offload the stresses on the ACL and poor balance puts the knee in a compromising position
- Meniscal root tears are more common in revision ACL reconstructions especially on the lateral side where it is reported to happen ~10% of the time:
- Meniscal root tears require additional drilling in the tibia to anchor the root down to the tibia and this should be done by a trained sports knee specialist for better outcomes
Diagnosis and investigations
- A thorough examination is required by a sports knee orthopaedic specialist to determine:
- ACL graft integrity
- Additional pathology in and around the knee which would alter the operative plan of the revision ACL reconstruction
- Investigations that would help with management of the condition:
- X-rays of the knee:
- Helps to see location of tunnels, presence of implants/anchors used in previous surgery, estimating tunnel size
- Long leg alignment X-rays:
- This helps assess leg alignment and whether a correction osteotomy is required as well
- CT scan:
- Pending on size and location of tunnels on X-rays, CT scan is often required
- This will help provide more detailed information on the size and position of the tunnels which is the key determinant whether revision ACL reconstruction can be performed in one sitting or two
- Tunnel dilation (see below)
- MRI scan will provide information on soft tissue structures that likely need surgical intervention:
- ACL graft integrity
- Meniscal injury
- Cartilage injury
- Additional ligament injury
Single stage vs two stage revision ACL reconstruction
- The majority of revision ACL reconstructions can be done in one sitting which is called single stage revision ACL reconstruction
- A two stage ACL reconstruction means that the revision needs to be done in two separate trips to theatre due to:
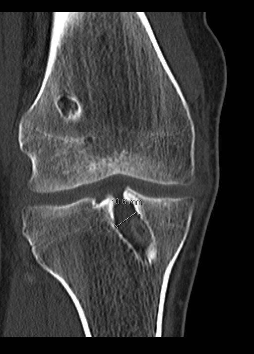
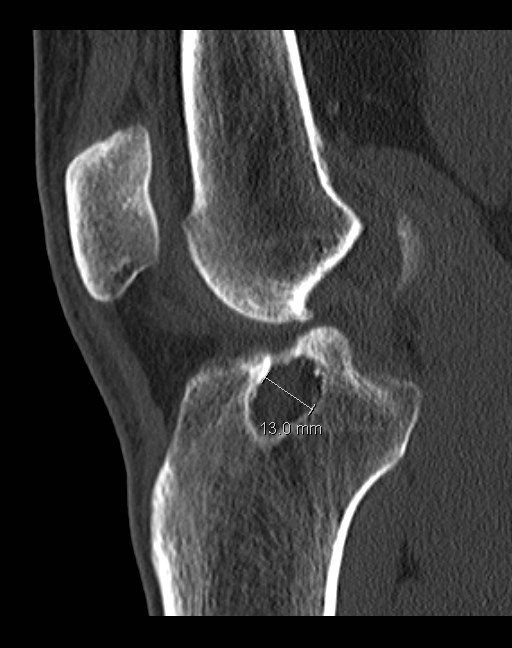
- Tunnel dilation:
- The tunnels when they are drilled are cylindrical in nature
- Over time the tunnels may dilate and increase in diameter especially in between the apertures i.e. section between the entrance and exit of the bony tunnel in the femur and tibia
- This can be due to:
- Inadequate fixation of the graft
- Loosely fitting graft within the drilled tunnel
- Micromotion of the graft within the tunnel after the operation
- Aggressive rehabilitation
- If this dilation is >10-12mm in diameter then performing the operation in one sitting is more problematic as the tunnel will be bigger than the graft leading to problems with position, fixation and loosening:
- The graft needs to have good bony apposition for it to anchor to the bone which means if there is a gap between graft and bone it will remain loose and lead to early failure
- In this scenario (especially for tunnels much bigger than 10mm) it would be better to perform the revision in two stages:
- The first stage involves filling the tunnel defects with bone graft
- There are various options for bone graft to be used each with their own benefits and risks
- Autograft is bone taken from the patient’s own bones such as the pelvis or elsewhere in the tibia
- Autograft has the best results for bone graft incorporation
- Whilst bone grafting from the pelvis has very good results for filling the defect successfully, patients can complain of long-term pain in that area as well as altered sensation which can be a nuisance when rubbing against clothes
- Allograft bone is bone taken from a donor:
- This avoids complications of harvesting bone from the patient
- This has good results
- Artificial bone graft:
- This is synthetic bone graft
- Τunnel malposition:
- If the old tunnel is in perfect position then it can be reused so long as it isn’t too big
- If the old tunnel is long way off optimal such that it won’t impact placement of the new tunnel in the ideal position then that is also a good scenario as the old tunnel can be ignored and can proceed with a single stage ACL revision
- However, in the scenario that the tunnel is only moderately off ideal position then this poses the greatest problem and increases the likelihood of needing a two stage revision ACL reconstruction in order to pack the tunnel with bone graft:
- This problem is likened to drilling a hole in the wall in order to put a screw to put some shelves up
- If the drill hole position needs to be adjusted slightly because the shelf is not horizontal then drilling another hole that partly overlaps the old hole is not only very difficult as the drill keeps slipping into the old hole but if successful the new tunnel coalesces with the old one and the result is such a big drill hole that the screw is loose inside and the shelf comes crushing down…
- The ACL graft needs to incorporate to the surrounding bone tunnel so it can anchor itself well and create a strong construct
- If there is poor bony contact with the graft then this anchoring will not happen, the graft will not stay in the ideal position and there will be a high chance of failure
- Active infection:
- In the presence of active infection this must be treated first typically with more than one washout of the knee in theatre and aggressive intravenous antibiotics for weeks
- Only once the infection has completely resolved and several weeks pass without antibiotics can the revision ACL reconstruction be considered
- Arthrofibrosis:
- This is stiffness of the knee with either inability to get the knee fully straight and/or fully bent as much as the other knee
- Carrying out an ACL reconstruction whether it is primary or revision, in the presence of stiffness means that after the operation the stiffness is even worse and very difficult to regain full range of motion
- Stiffness will also cause problems during the operation increasing the likelihood of poor tunnel placement and failure to achieve optimal ACL tension
- The time period between the two stages of revision ACL reconstruction, whereby in the first stage the bone tunnels were grafted, is usually at least three months in order to allow the grafted bone to be fully incorporated in the native bone:
- A CT scan at this stage prior to commencing with the second stage is helpful to confirm how well the bone graft incorporated with the rest of the bone
- Once the grafted bone is incorporated, it allows the surgeon to position the tunnels in their optimal placement with no concern over where the old tunnels were in the past which is the big advantage of the two stage vs the single stage revision
- The drawbacks of doing the revision in two stages:
- More inconvenience for the patient as two operations are required
- Higher risk of meniscal and chondral injury in the intervening period
- Higher risk of muscle wasting as patient in the intervening period will not be as active
- So where possible a single stage ACL revision should be attempted but not at the expense of achieving the best possible outcome for the patient
Choice of ACL graft
- The options available for ACL graft has been discussed elsewhere and the same apply for revision ACL reconstruction
- However, the choices available in revision surgery are less as one of the grafts has already been used
- Therefore, it is important for the surgeon to be familiar with using more than one ACL graft type
- In revision ACL reconstruction there is a higher risk of having to perform additional ligament surgery (such as posterolateral corner or medial collateral ligament) so careful planning is required
- Autografts for ACL i.e. grafts taken from the patient have almost 3 times lower risk of failure than allografts when used for revision ACL reconstruction
- Autografts can also be taken from the other knee
- Allografts may be used out of necessity when graft options are limited either due to the number of ligaments requiring reconstruction or due to reduced available options from previous use of autografts or if it is patient’s choice
- Allografts where possible should be reserved for those over 30 years and those returning to recreational sports
The role of lateral extraarticular tenodesis
- Lateral extraarticular tenodesis is described further here
- Evidence shows that the addition of lateral extraarticular tenodesis to a revision ACL reconstruction:
- Reduces feeling of instability
- Reduces ACL graft rupture
- It is therefore highly recommended to add a lateral extraarticular tenodesis to a revision ACL reconstruction and will be routinely performed by Dr Theodorides in such cases
Postoperative rehabilitation
- Patients should expect this to be longer than a primary ACL reconstruction
- The rehabilitation protocol will be individualised for each patient as it is largely determined by the various additional structures that need to be addressed in order to optimise outcomes
- A lot will depend if the revision was performed in two stages and what additional procedures were carried out
When can I return to sport?
- The short answer is whenever the knee is ready past 9 months
- Return to sport should not be time based as not everyone heals and performs their rehabilitation at an optimal level:
- This is even more true for non-professional athletes who don’t have the luxury of a full team of physiotherapists, personal trainers, nutritionists and medical services at their disposal plus they get paid and are very focused with their rehabilitation
- ACL rehabilitation is a lot of work for minimum 9 months and there can be setbacks along the way and external life events that can affect the progress
- There are some key performance tests that can be carried out to help with determining when a patient can return to sport:
- Even though they are the best we have currently and can make a big difference in saving patients from reinjury they are not 100% predictive
Outcomes are inferior to primary ACL reconstruction
- The results of a revision ACL reconstruction are not as good as the original operation
- The higher incidence of cartilage, meniscal and additional ligamentous injury as well as the longer rehabilitation period all contribute to the worse outcomes:
- <10% of revision ACL reconstructions have normal menisci and articular cartilage
- 60-75% revision ACL reconstruction patients are able to get back to playing sport
- However, ~40% of patients are unable to return to the same level of sport or competition
- There is less data on outcomes for professional athletes but it is thought to be around 80%
How to minimise the risk of requiring ACL revision operation
- Choose the surgeon who performs your primary ACL reconstruction carefully
- A specialist sports knee surgeon tends to operate only on knees and perform revision ACL reconstructions
- The specialist sports knee surgeon is more likely than a non-specialist surgeon to evaluate and address injuries that are present in addition to the ACL which make a difference to the outcome of the operation
- The specialist sports knee surgeon is able to evaluate and address injuries that are present in addition to the ACL (meniscus, cartilage, other ligaments) better than a non-specialist which make a difference to the outcome of the operation
- Follow the rehabilitation guidelines from your knee specialist
- Avoid too rapid and aggressive physiotherapy but on the other hand do not go back to competitive sport until minimum 9-12 months and you have been cleared by the specialist
- Focus particularly on strength and balance of both lower limbs and core:
- Evidence shows that following an ACL reconstruction there is increased risk of ACL injury in the uninjured knee
- If possible try and stop playing sports that involve cutting and pivoting and instead exercise through gym weight training, jogging, cycling, rowing, cross trainer and swimming as they minimise risk of ACL injury
- The ultimate way to prevent the need of a revision ACL reconstruction is to not injure the ACL in the first place and injury prevention programmes as well as specific ones on ACL injury prevention have been shown to be the best at this for those who play high risk sports






